Caso raro: criança nasce sem pênis e faz xixi pelo ânus
![]() |
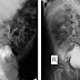
| Reprodução/Radiology Case Reports |
No Irã, um recém-nascido veio ao mundo sem ter pênis, o órgão genital masculino. A condição surpreendeu os médicos e a mãe da criança, que disse ter tido uma gravidez sem complicações e perfeitamente saudável.
O bebê nasceu com afalia, uma má formação que impede o desenvolvimento do falo (pênis ou clitóris, dependendo do sexo da criança). Apesar da ausência do órgão reprodutor e excretor masculino, a criança possui testículos e escroto, sendo, portanto, classificada como do sexo masculino.
Devido à má-formação, o sistema urinário do bebê está conectado ao reto. Como consequência, a criança urina pelo ânus.
De tão raro, o caso mereceu um relato científico na revista médica Radiology Case Reports. Segundo os médicos que o atenderam, o bebê nasceu em ótimo estado de saúde.
A equipe realizou exames por mais de um ano após o nascimento da criança para entender como funciona o sistema urinário único do paciente. Em exames de imagem com um corante específico, foi identificado que o bebê tem uma fístula, ou seja, uma ligação anormal entre a bexiga e o reto – que fica no final do intestino.
Intersexual
Segundo estimativas, a afalia afeta uma criança a cada 30 milhões e existem menos de 100 casos relatados na literatura médica. Pessoas com a condição são conhecidas biologicamente como intersexuais – no passado, era usado o termo hermafrodita.
Apesar de ser possível realizar procedimentos cirúrgicos para construir um pênis e uma uretra na criança, os médicos que atenderam o recém-nascido sugeriram que ele passe por um tratamento de mudança de sexo e uma cirurgia de feminização, quando se cria uma vagina.
A equipe também recomendou que a criança receba o hormônio estrogênio durante a puberdade para inibir mudanças no corpo como a presença de pelos faciais e o engrossamento da voz, a fim de estar de acordo com o gênero feminino.
O relato de caso não traz informações sobre a decisão da família.
Fonte: Metrópoles

Nenhum comentário